Implantate
Festsitzende – und nicht von natürlichen zu unterscheidende – schöne dritte Zähne. Unser hochqualifiziertes, erfahrenes Implantologieteam erfüllt diesen Patiententraum seit über 15 Jahren, schmerzlos und minimalinvasiv. Dies wird durch eine optimale Planung mit unserem digitalen, dreidimensionalen Röntgen (DVT), möglich. Mehr »
Informationen zu Zahnimplantaten
Ihre Zähne im Blickpunkt
- mehr Lebensqualität durch Zahnimplantate. Hier finden Sie Informationen
zum Zahnersatz auf künstlichen Zahnwurzeln.
Die wichtigsten Fragen für Sie beantwortet:
Warum Zahnimplantate?
Was sind Zahnimplantate?
Wie sicher sind Zahnimplantate?
Welche Voraussetzungen
sind erforderlich?
Wann machen Implantate
Sinn?
Wie läuft die Implantation
ab?
Wie sieht der ungefähre
Zeitplan aus?
Welche Ausgaben sind zu
erwarten?
Wie lange halten Implantate?
Welche Nutzen bieten Ihnen
Zahnimplantate?
Warum CAMLOG(r) -Implantate?
Weitere Infos zu Zahnimplantaten
Warum Zahnimplantate?
Es gibt viele Ursachen für den Verlust Ihrer natürlichen Zähne
- ebenso zahlreich sind die Folgen! Eine davon ist die schmerzhafte
Erfahrung, die bisherige Lebensqualität zu verlieren. Dazu gehören
Ihr unbeschwertes Sprechen, alles essen zu können, Ihr herzliches
Lachen, Ihre Ausstrahlung und Ihr Wohlbefinden.
Gesunde und schöne Zähne strahlen Vitalität, Durchsetzungsvermögen,
Sympathie und auch Erotik aus. Aussehen und Ausstrahlung werden nachweislich
als wesentlicher Faktor der sozialen Kompetenz eines Menschen angesehen.
Mit einem unbeschwerten Lächeln wirken Sie offen und vertrauensvoll.
Sie erscheinen selbstbewusst und sicher. Diese Qualität gewinnen
Sie durch unsere Zahnimplantate und mit Hilfe Ihres Zahnarztes.
Wir möchten, dass Sie wieder nach Herzenslust lachen und Ihr Leben
unbeschwert genießen können!
Der Natur am nächsten ist es, die naturgegebene Situation wieder herzustellen: Mit einer Implantatkrone wird die sichtbare Zahnkrone und die unsichtbare Zahnwurzel ersetzt - so, als wäre es Ihr eigener Zahn. Sichern Sie sich langfristig ein Höchstmaß an sicherem Auftreten und Komfort!
Was sind Zahnimplantate?
Zahnimplantate ersetzen die fehlenden Zähne einschließlich
der Zahnwurzel und werden an deren Stelle in den Kieferknochen eingesetzt.
Diese lohnende und sichere Alternative ist in der modernen Zahnheilkunde
längst anerkannt und hat sich erfolgreich durchgesetzt.
Die Erfahrungen reichen weit über 30 Jahren zurück und beruhen weltweit auf fundierten Erkenntnissen. Durch das spezielle Design des von uns verwendeten CAMLOG(r)-Systems gewinnt Ihr Zahnersatz höchste Stabilität und Ästhetik. Für Sie eine große Sicherheit im Alltag!
Implantate bestehen aus Titan, und werden daher sehr körperfreundlich angenommen. Sie lösen keine allergischen Reaktionen aus. Durch eine natürliche Belastung der Knochenzellen verhindert das Implantat nach dem Zahnverlust einen Knochenabbau und damit auch Zahnfleischschwund. Dieses ist kosmetisch sehr vorteilhaft. Der Komfort und die Langlebigkeit von Zahnersatz auf Implantaten können gegenüber herkömmlicher Methoden oft entscheidend verbessert werden.
Wie sicher sind Zahnimplantate?
Die Erfolgsaussichten liegen nach langjährigen Untersuchungen über
95%. Die Risiken sind daher gering, dank fortschrittlicher Behandlungsmethoden.
Vor einer Implantation sollten auch die Restzähne und das Zahnfleisch
in Ordnung sein. Eine gewissenhafte Mundhygiene, sowie regelmäßige
Kontrollbesuche bei Ihrem Zahnarzt ist das Fundament eines langfristigen
Erfolges. Ein sicheres Gefühl in allen Lebenslagen!
Um eine möglichst präzise Diagnostik und Planung zu ermöglichen, arbeiten wir mit modernsten, computerunterstützten Navigationssystemen auf der Basis von 3D Tomographiescans des Implantationsgebietes. Damit werden häufig knochenaufbauende Vorbehandlungen überflüssig und das Plazieren der Implantate schonender und risikoärmer.
Welche Voraussetzungen sind erforderlich?
Ein Implantat kann nach Abschluss des Knochenwachstums in jeder Altersstufe
eingesetzt werden! Wichtig für eine erfolgreiche Implantation sind
allgemeinmedizinische und zahnmedizinische Voraussetzungen. Notwendig
sind ein ausreichendes Knochenangebot sowie eine gute Knochenqualität.
Dies kann durch verlässliche Aufnahmen geprüft werden. Eine
gute Mundhygiene ist dabei Voraussetzung.
Gerne beraten wir Sie über Ihre persönlichen Möglichkeiten mit Zahnimplantaten. Für einen Gewinn an Lebensqualität ist es nie zu spät!
Wann machen Implantate Sinn?
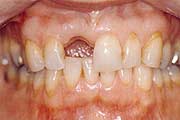
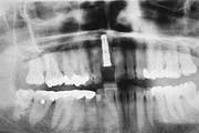
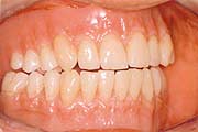
Einzelzahnersatz
Gesunde Nachbarzähne müssen nicht beschliffen werden. Eine
unauffällige und natürliche Lösung. Anspruchsvoll in
der Ästhetik und langfristig im Nutzen.
![]() |
![]() |
![]() |
![]() |
Große Zahnlücke &
verkürzte Zahnreihe
Implantate bilden die Basis für eine festsitzende Brücke oder
Einzelkronen, um herausnehmbaren Zahnersatz zu vermeiden.
![]() |
![]() |
Nichtanlage von Zähnen
Nach abgeschlossenem Knochenwachstum und kieferorthopädischer Vorbehandlung
werden Einzelzahnimplantate eingesetzt, ohne die Nachbarzähne zu
verletzen.
![]() |
![]() |
Zahnloser Kiefer
Viele Prothesenträger klagen über den schlechten Sitz und
schmerzhaften Druckstellen. Haftmittel oder mechanische Hilfen lösen
diese Probleme nicht dauerhaft und zufriedenstellend.
Implantate können Abhilfe schaffen, abhängig von Ihren Voraussetzungen und Wünschen. So kann der Tragekomfort mit der Anzahl der Implantate erheblich gesteigert werden, bis hin zu einer rein auf künstlichen Wurzeln getragenen Prothese.
Beim CAMLOG(r) -System stehen unterschiedliche Möglichkeiten für Sie zur Verfügung:
Druck-Knopf-Verankerung - einfach und zuverlässig
![]() |
![]() |
Teleskoptechnik - stabil auf Implantate gestützt
![]() |
![]() |
Steg-Verankerung - mehr Möglichkeiten für Funktion & Kosmetik
![]() |
![]() |
Entscheiden Sie sich mit Implantaten für eine bessere Lebensqualität!
Welche Ausgaben sind zu erwarten?
Die genauen Kosten lassen sich nur individuell ermitteln. Dazu ist
ein Gespäch in unserer Praxis nötig, indem wir Sie ausführlich
und in aller Ruhe über die Kosten und alle sonstigen für Sie
wichtigen Dinge informieren.
Wie lange halten Implantate?
Durch eine sorgfältige Pflege und regelmäßige Kontrollen
erhalten Sie sich eine lange Freude an Ihren künstlichen Zahnwurzeln!
Aktuelle Beobachtungen zeigen. dass Implantate weit über 30 Jahre
beschwerdelos im Knochen verankert sein können.
Welche Nutzen bieten Ihnen Zahnimplantate?
- Erhalt von Knochensubstanz: Der natürliche Abbau des Kieferknochens
wird erheblich verzögert. Dieses sichert den Halt der Implantate
über viele Jahre!
Verminderung der Schleimhautabdeckung
- Ein Gewinn von Tast- und Geschmacksempfindungen!
- Sicherer Halt von Prothesen
- Keine schmerzhaften Druckstellen mehr und ein sicheres Wohlgefühl
im sozialen Umfeld!
- Hohe Wirtschaftlichkeit
- Bei guter Pflege und regelmäßiger Wartung eine langfristige
Lösung!
- Größere Kaukraft und hoher Tragekomfort
- Eine ausgewogene Ernährung mit festen Biss und Genuss! Ebenso
gewinnen Sie wieder mehr Sicherheit beim Sprechen, Singen und Lachen!
- Sicheres Auftreten
Ein neues Selbstwertgefühl und mehr Lebensqualität durch Ihre positive Ausstrahlung auf Mitmenschen mit stabilem und unauffälligem Zahnersatz auf Implantaten!
Warum CAMLOG(r)-Implantate?
Die Besonderheit beim CAMLOG(r) - System ist seine äußerst
stabile Implantat - Aufbauverbindung. Untersuchungen zeigten, dass die
spielfreie Passung Schraubenlockerungen oder gar Brüche ausschließt.
Durch diese spezielle Verbindung wird die tägliche Belastung auf
die Implantatkrone ideal aufgenommen, dem natürlichen Zahn gemäß.
Die Menschen sind verschieden - somit wird individuell für Sie
der passende Implantat-Typ ausgewählt.
Das deutsche CAMLOG(r) - Implantatsystem vereint die über 25-jährige klinische und labortechnische Erfahrung aus modernster Fertigungstechnologie mit neuesten Erkenntnissen aus der Grundlagenforschung.
Höchste Qualitätsstandards - Schenken Sie uns Ihr Vertrauen!
Weitere Infos zu Zahnimplantaten erhalten Sie
hier:
BDIZ Bundesverband der niedergelassenen implantologisch tätigen
Zahnärzte in Deutschland e.V. www.bdiz.de
BDO Berufsverband Deutscher Oralchirurgen www.oralchirurgie.org
DGI e.V., Deutsche Gesellschaft für Implantologie www.dgi-ev.de
DGMKG Deutsche Gesellschaft für Mund-, Kiefer- und Gesichtschirurgie
e.V.
www.mkg-chirurgie.de
DGZI Deutsche Gesellschaft für Zahnärztliche Implantologie
e.V.
www.dgzi.de
www.implantate.com













